Гонартроз является одним из самых распространённых вариантов остеоартроза, так как коленные суставы ежедневно испытывают значительную нагрузку.
Что происходит в суставе
Коленный сустав образован бедренной и большеберцовой костями, покрытыми гиалиновым хрящом, а также менисками, связками и синовиальной оболочкой.
Хрящ выполняет роль амортизатора и обеспечивает плавное скольжение суставных поверхностей.
При гонартрозе:
• хрящ истончается и теряет эластичность
• ухудшается питание (трофика) тканей
• увеличивается трение между костями
• формируются костные разрастания (остеофиты)
• развивается воспаление (синовит)
В результате нарушается нормальная биомеханика сустава и появляется боль.
Причины развития
Гонартроз развивается под влиянием комплекса факторов:
- избыточная масса тела
• высокие или длительные нагрузки (работа, спорт)
• травмы коленного сустава (разрывы менисков, связок)
• возрастные изменения
• нарушение биомеханики движений
• слабость мышц
• воспалительные и аутоиммунные заболевания
• метаболические нарушения (сахарный диабет, подагра)
• перенесённые операции на суставе
Дополнительным фактором может быть неблагоприятная экологическая обстановка и хроническое воздействие токсинов.
Механизм развития
Хрящ не имеет собственных сосудов и получает питание из синовиальной жидкости.
Во время движения сустав работает как «насос»:
при нагрузке хрящ сжимается и отдаёт продукты обмена, а при разгрузке — впитывает питательные вещества.
Если этот механизм нарушается:
• ухудшается питание хряща
• он постепенно истончается
• теряет прочность и эластичность
• начинает разрушаться
Со временем нагрузка переходит на кость, что приводит к её уплотнению и образованию остеофитов.
Основные симптомы
Симптомы развиваются постепенно:
Боль
• сначала появляется при нагрузке
• затем может возникать в покое
• усиливается при ходьбе, подъёме по лестнице
Скованность
• чаще после сна или длительного отдыха
• обычно длится до 20–30 минут
Ограничение подвижности
• становится более выраженным со временем
Хруст в суставе (крепитация)
Отёк и припухлость
• связаны с воспалением
Деформация сустава
• развивается на поздних стадиях
Стадии гонартроза
1 стадия (начальная)
• незначительные изменения суставного хряща
• боль возникает только при нагрузке
• отсутствует выраженная деформация
• функция сустава сохранена
2 стадия (умеренная)
• истончение и частичное разрушение хряща
• формирование остеофитов
• боль при обычной повседневной активности
• умеренная скованность, особенно после покоя
• частичное ограничение движений
3 стадия (выраженная)
• значительное разрушение хряща
• деформация сустава
• постоянная боль (в том числе в покое)
• выраженное ограничение подвижности
• возможна хромота
4 стадия (тяжёлая)
• практически полное разрушение хряща
• резкая деформация сустава
• интенсивная постоянная боль
• почти полная утрата подвижности
• значительное нарушение функции конечности (вплоть до инвалидизации)
Диагностика гонартроза в МЦ «ПУЛЬС»
В медицинском центре «ПУЛЬС» приём ведёт врач-ортопед-травматолог Кеня Виктор Николаевич — специалист с многолетним опытом лечения заболеваний опорно-двигательного аппарата, включая гонартроз (артроз коленного сустава).
Для уточнения диагноза применяются современные методы диагностики:
• клинический осмотр и оценка походки
• функциональные тесты коленного сустава
• рентгенография
• КТ и МРТ по показаниям
Рентгенография является основным методом диагностики гонартроза и позволяет определить:
• сужение суставной щели
• наличие остеофитов
• степень деформации сустава
КТ (компьютерная томография) назначается, когда необходимо:
• более точно оценить костные структуры
• выявить выраженные деформации сустава
• уточнить стадию заболевания при сомнительных данных рентгена
• подготовиться к оперативному лечению (оценка костной анатомии)
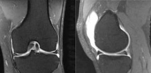
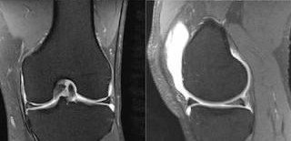
МРТ (магнитно-резонансная томография) применяется в случаях, когда требуется:
• оценить состояние хряща на ранних стадиях гонартроза
• выявить повреждения менисков и связок
• определить изменения мягких тканей и синовиальной оболочки
• уточнить причину боли при недостаточной информативности рентгена
МРТ позволяет детально визуализировать внутрисуставные структуры, а КТ — получить точную информацию о состоянии костных элементов сустава.
Комплексный подход к диагностике помогает установить стадию гонартроза и выбрать оптимальную тактику лечения.
Когда возможно консервативное лечение гонартроза
Безоперационное лечение эффективно при:
• ранних стадиях гонартроза (1–2 стадия)
• умеренном болевом синдроме
• сохранённой или незначительно ограниченной подвижности сустава
• отсутствии выраженной деформации

Консервативная терапия направлена на уменьшение боли, замедление разрушения хряща и сохранение функции сустава.
При своевременном начале лечения можно значительно замедлить прогрессирование заболевания и избежать операции.
Когда показано оперативное лечение
Хирургическое вмешательство рассматривается в следующих случаях:
• выраженное разрушение суставного хряща
• сильная боль, не поддающаяся консервативному лечению
• значительное ограничение подвижности
• выраженная деформация сустава
• существенное снижение качества жизни
• отсутствие эффекта от длительной консервативной терапии

Оперативное лечение, как правило, требуется на 3–4 стадии гонартроза, когда происходит выраженная деформация сустава и стойкое нарушение его функции.
Виды оперативного лечения коленного сустава:
• тотальное эндопротезирование коленного сустава — полная замена сустава
• частичное (одномыщелковое) эндопротезирование — при ограниченном поражении
Цель операции — устранение боли, восстановление подвижности сустава и значительное улучшение качества жизни пациента.
Лечение гонартроза в МЦ «Пульс»
Лечение гонартроза строится на комплексном и поэтапном подходе с учётом стадии заболевания и индивидуальных особенностей пациента.
Цель терапии — уменьшить боль, замедлить разрушение хряща, сохранить подвижность коленного сустава, улучшить его биомеханику и предотвратить прогрессирование заболевания.
Этапы лечения
Консервативное лечение
Основные задачи:
• уменьшение боли и воспаления в коленном суставе
• замедление дегенерации суставного хряща
• улучшение питания и восстановительных процессов в хряще
• сохранение и улучшение подвижности сустава
• нормализация нагрузки на коленный сустав
• профилактика дальнейшего прогрессирования гонартроза
Комплексный подход позволяет не только устранить симптомы, но и максимально долго сохранить функцию сустава и качество жизни пациента.
Купирование боли и стимуляция восстановления
Применяются современные физиотерапевтические методы:
• ударно-волновая терапия (УВТ) — улучшает кровообращение и обменные процессы в тканях коленного сустава
• лазеротерапия — снижает воспаление и стимулирует регенерацию тканей
• магнитотерапия — уменьшает отёк и оказывает противовоспалительное действие
ультразвуковая терапия — уменьшает воспаление и способствует восстановлению тканей
На этом этапе также важно:
• снизить избыточную нагрузку на коленный сустав
• при необходимости скорректировать уровень физической активности
• соблюдать рекомендации врача по режиму движения
Локальная инъекционная терапия (ЛИТ)
Применяется при артрозе с выраженным болевым синдромом, воспалением и дегенеративными изменениями суставного хряща.
Инъекции выполняются под УЗИ-навигацией, что повышает точность и эффективность лечения.
Применяемые препараты:
• Хронотрон — способствует улучшению обменных процессов в суставных тканях, замедляет дегенерацию хряща и поддерживает восстановительные процессы
• Плексатрон — коллагеновый препарат, улучшает состояние соединительной ткани, снижает воспаление и способствует восстановлению структуры сустава
• Флексотрон — препарат на основе гиалуроновой кислоты, выполняет роль «жидкого протеза» синовиальной жидкости, улучшает скольжение суставных поверхностей, уменьшает боль и повышает подвижность сустава
Выбор препарата и схема лечения определяются врачом индивидуально с учётом стадии артроза, локализации процесса и выраженности симптомов.
Биологические методы лечения
Методы:
• Плазмотерапия — использование собственной плазмы крови пациента для улучшения питания тканей сустава
• PRP-терапия (Platelet-Rich Plasma) — введение плазмы, богатой тромбоцитами, для стимуляции регенерации
• SVF-терапия (Stromal Vascular Fraction) — применение фракции стромально-васкулярных клеток, полученных из собственной жировой ткани пациента, для активации процессов восстановления и уменьшения воспаления в суставе
- BMAC-терапия (Bone Marrow Aspirate Concentrate) — новый метод регенеративной медицины. Технология предполагает использование клеток костного мозга пациента для восстановления повреждённых тканей.
Механизм действия:
• стимулирует восстановление тканей
• улучшает питание хряща
• уменьшает воспаление и боль
• активирует регенеративные процессы за счёт клеточных факторов роста
Преимущества:
• высокая биосовместимость (используются собственные ткани пациента)
• минимальный риск побочных реакций
• выраженный противовоспалительный и восстановительный эффект
• хорошая переносимость
Глюкокортикостероиды (ГКС)
Применяются строго по показаниям при выраженном воспалении при артрозе.
Инъекции выполняются под УЗИ-навигацией.
Особенности:
• быстрый противовоспалительный эффект
• ограниченная частота применения
• при частом использовании возможно негативное влияние на хрящ
Восстановление и реабилитация
После уменьшения боли и воспаления начинается этап восстановления функции сустава.
- Лечебная физкультура (ЛФК)
• индивидуальные программы с учётом стадии артроза
• упражнения для улучшения подвижности и укрепления мышц
• постепенное увеличение нагрузки
• улучшение кровообращения и обменных процессов - Кинезиотерапия
• восстановление правильной биомеханики движений
• снижение нагрузки на сустав
• укрепление мышц, стабилизирующих сустав
• использование тренажёров и эластичных лент - Тейпирование
• поддержка сустава без ограничения движений
• уменьшение боли и отёка
• улучшение микроциркуляции - Коррекция нагрузки и образа жизни
• обучение правильным двигательным привычкам
• снижение избыточной нагрузки на сустав
• рекомендации по физической активности и весу тела
• постепенное возвращение к привычной активности
Комментарий врача
Важно
Гонартроз — прогрессирующее заболевание.
Чем раньше начато лечение, тем выше шанс сохранить сустав и избежать операции.
Комментарий врачаАртроз — одно из самых распространённых заболеваний суставов, которое приводит к боли и ограничению движений. На ранних стадиях возможно эффективное консервативное лечение, позволяющее замедлить прогрессирование болезни и сохранить функцию сустава. Поэтому при появлении боли, скованности или дискомфорта важно своевременно обратиться к врачу для диагностики и подбора индивидуального лечения.
Часто задаваемые вопросы
Всегда ли требуется операция при артрозе коленного сустава?
Нет. В большинстве случаев лечение проводится консервативно и позволяет эффективно контролировать симптомы.
Можно ли остановить развитие артроза коленного сустава?
Полностью остановить процесс сложно, но можно значительно замедлить его прогрессирование при правильном лечении и образе жизни.
Можно ли двигаться при артрозе коленного сустава?
Да. Движение необходимо, но нагрузки должны быть дозированными и безопасными.
Сколько длится лечение?
Лечение длительное и поэтапное. Первые результаты появляются через несколько недель, но поддерживающая терапия может требоваться постоянно.
Когда появляется улучшение?
Снижение боли возможно уже на первом этапе лечения. Улучшение функции происходит постепенно в процессе реабилитации.
Всегда ли артроз коленного сустава сопровождается болью?
Нет. На ранних стадиях заболевание может протекать практически бессимптомно. Боль чаще появляется при прогрессировании дегенеративных изменений, нагрузке на сустав или после длительного покоя (скованность).
Как долго будет сохраняться боль после начала лечения?
Срок уменьшения боли зависит от стадии артроза коленного сустава, выраженности воспаления и выбранной тактики лечения. В большинстве случаев при правильно подобранной комплексной терапии снижение болевого синдрома начинается уже в первые дни или недели.
Однако для стойкого результата требуется курсовое лечение и последующая реабилитация. При хроническом процессе дискомфорт уменьшается постепенно — по мере улучшения подвижности сустава и снижения нагрузки на него.
Важно понимать, что цель лечения — не только снять боль, но и замедлить прогрессирование заболевания и сохранить функцию сустава.
Требуется ли операция при артрозе коленного сустава?
Хирургическое вмешательство требуется только при выраженных изменениях сустава, сильной боли и значительном ограничении функции, когда консервативное лечение неэффективно. В большинстве случаев удаётся обойтись без операции.
Помогает ли только массаж?
Массаж помогает уменьшить мышечное напряжение и улучшить кровообращение, но выраженный и длительный эффект достигается только при сочетании с лечебной физкультурой (ЛФК), физиотерапией и другими методами комплексного лечения.
Можно ли заниматься спортом?
Да, при согласовании с врачом. Рекомендуется щадящая физическая активность и лечебная гимнастика, которые улучшают подвижность сустава, укрепляют мышцы и снижают нагрузку на коленный сустав.
Сколько времени длится лечение?
Длительность лечения зависит от стадии артроза коленного сустава, выраженности симптомов и индивидуальных особенностей пациента. В среднем курс комплексной терапии составляет 4–12 недель.
Для поддержания результата важно продолжать ЛФК и соблюдать рекомендации по образу жизни.
Нужно ли постоянно принимать лекарства?
Не всегда. Медикаментозная терапия назначается в период обострения или при выраженном воспалении. Долгосрочный эффект достигается за счёт регулярной физической активности, физиотерапии и контроля нагрузки на коленный сустав.
Запишитесь онлайн или оставьте заявку — администратор свяжется с вами и подберёт удобное время приёма.



